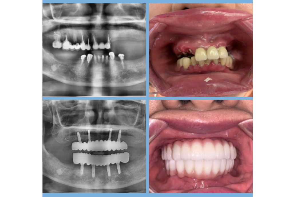
微創植牙 小傷口,大改變 結合3D導引技術與數位影像分析,手術精準、恢復快速,讓植牙更安全、舒適。 立即預約諮詢 全程專屬規劃 為你打造精準、安全的植牙體驗 全程數位導引,讓植牙更精準、更安心。 全口檢查與影像評估 透過X光與3D斷層掃描,完整了解骨質厚度、神經與上顎竇位置,確保手術安全。 數位植牙規劃 運用電腦軟體模擬植體角度與深度,並製作專屬導引板,提高手術精準度。 微創手術植入 僅需微小切口即可完成植體植入,出血少、疼痛低、恢復快。 骨整合癒合期 約2–4個月內,人工牙根與齒槽骨結合穩定,為後續牙冠裝戴做準備。 安裝人工牙冠 依據牙齒形狀製作全瓷或混合式牙冠,恢復自然咬合與美觀。 定期回診與保養 每3–6個月回診檢查,確保植體健康與牙周穩定,延長使用壽命。 精準・安全・快速恢復 專業團隊陪你重建自然笑容 從數位影像評估、手術規劃到人工牙冠裝戴,全程由植牙專科醫師親自操作。透過3D導引技術與數位導航,降低風險、縮短恢復期,讓植牙更安心。 3D導引定位: 精準掌握角度與深度,減少術中誤差。 數位影像分析: 即時模擬植體位置與咬合狀況。 專業醫師操作: 全程由原醫師執行與追蹤。 傷口小恢復快: 出血少、腫脹低,日常生活不受影響。 植牙流程超簡單 三步驟,重拾自然咬合與自信笑容 1 精準評估與3D規劃 透過電腦斷層與3D導引軟體,分析骨質與神經位置,量身制定植牙方案。 2 微創手術植入 在數位導引板輔助下完成植體植入,傷口小、出血少、恢復快。 3 安裝牙冠與定期追蹤 待骨整合完成後裝上全瓷牙冠,醫師定期檢查確保穩定與美觀。 患者見證 他們的笑容,證明一切 微創植牙不只是補回缺牙,更讓生活重拾自信與笑容。 王先生上顎單顆植牙患者 ★★★★★ Rated 5 out of 5 「手術比想像中輕鬆許多,術後幾乎沒腫、沒痛。現在吃東西也完全恢復正常,真的很推薦微創植牙!」 李小姐全口重建患者 ★★★★★ Rated 5 out of 5 「醫師用3D導引幫我設計植牙位置,整個手術過程非常安心。恢復期短、效果自然,看起來就像真牙一樣!」 張先生長期缺牙患者 ★★★★★ Rated 5 out of 5 「之前一直怕傳統植牙太痛,沒想到微創手術只花了不到一小時,隔天就能正常上班,真的太神奇了!」 成功案例 0 + 病患滿意度 0 /5 療程成功率 0 % 開始之前,你一定想知道的事 為什麼越來越多人選擇微創植牙?傷口小、恢復快:手術時間短、術後腫脹與疼痛感低。出血量少:過程精準穩定,對中老年與慢性病患者更安全。美觀自然:牙齦完整度高,外觀幾乎與真牙無異。精準導引:3D導航技術避開神經與血管,降低風險。生活便利:術後可快速恢復進食與日常活動。 Q1. 微創植牙會痛嗎? 微創手術僅需小切口或免翻瓣操作,出血少、傷口小。手術過程中有局部麻醉,幾乎無疼痛感,術後僅輕微腫脹不適,1–2天內即可恢復。 Q2. 微創植牙需要多久? 單顆植牙手術時間約30–60分鐘,術後2–4個月骨整合完成後即可裝上牙冠。若條件良好,部分患者甚至能當天植牙+裝臨時牙。 Q3. 誰適合做微創植牙? 牙齦健康、骨質條件足夠者最適合。若骨量不足或有慢性病,醫師會先評估再建議是否可行。 Q4. 微創植牙比傳統植牙好在哪? 微創手術切口小、恢復快,幾乎無明顯腫脹。同時透過3D導引定位,手術更精準、安全。 Q5. 植牙可以用多久? 在良好保養下可使用15–20年以上,甚至終身。定期回診與良好的口腔清潔是延長壽命的關鍵。 想了解更多?立即預約諮詢! 由專業醫師親自評估你的牙齒狀況,為你規劃最合適的方案,展現自然又自信的笑容。 立即預約諮詢