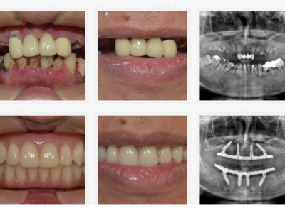
專業醫師,守護你的笑容 我們結合國際級植牙系統與數位美學技術,提供無痛、精準、快速的牙科治療體驗。從植牙、全瓷冠到隱形矯正,一次滿足你的需求。 預約諮詢 關於我們 精準重建每一個笑容 陳俊岳醫師率領的專業團隊,結合國際植牙技術與數位牙科系統,專精於微創植牙、全口重建、全瓷冠與隱形矯正。我們相信醫療不只是技術的展現,更是傾聽與信任的累積,讓每位患者都能安心重拾自然笑容。 醫師介紹 你所需要的牙科服務,一次到位 從植牙、全瓷美學到隱形矯正,為你提供最適合的解決方案 All-on-4 全口重建 透過四支植體即可支撐全口固定假牙,手術當天即可恢復咀嚼與笑容。省時、安全,是全口重建的高效新選擇。 微創植牙 結合 3D 導引技術與數位影像分析,僅需微小切口即可完成植牙。傷口小、恢復快,是患者首選的無痛精準植牙方式。 全瓷貼片 / 全瓷冠 高透光全瓷材質,重現自然笑容。從牙齒美白、縫隙修飾到整體微笑設計,打造專屬自信風采。 隱形矯正 透明舒適、可自行摘戴,結合數位3D掃描與模擬,讓矯正過程幾乎隱形,同時維持生活自信與美觀。 服務項目 想擁有更自信的笑容我們幫你實現! 不論是植牙、貼片還是矯正, 專業醫師團隊都會為你量身打造最自然的治療方案。 一次預約,即可完成影像健檢與療程規劃。立即體驗數位牙科的高效與舒適。 預約諮詢 選擇我們 精準醫療 × 美學設計 × 人本關懷 專業與溫度兼具的牙科團隊 陳俊岳醫師帶領的團隊結合國際植牙系統、數位牙科技術與多年的臨床經驗,為每位患者量身打造最適合的治療方案。我們堅持以人為本,讓治療更安全、美觀且長久穩定。 精準定位、傷口小、恢復快 客製化笑容美學設計 傾聽需求、尊重選擇,讓醫療更有溫度 診療案例 患者見證 他們的笑容,證明一切 「以前害怕看牙,來這裡完全改觀。醫師很有耐心,手法也很細膩, 植牙後完全沒有不適,現在咬東西都很自然。」 陳小姐・植牙治療 「我做了全瓷貼片,笑起來真的差好多! 醫師幫我設計的牙齒形狀超自然,朋友都以為是我原本的牙齒。」 林小姐・全瓷貼片美學修復 「我選擇做 All-on-4 全口重建,手術當天就能吃東西, 整個過程比想像中輕鬆很多,非常感謝團隊專業又溫柔的照顧。」 黃先生・全口重建 立即撥打 02-25533202 台北市大同區承德路二段176號 (捷運民權西路站2分鐘) 官方Line預約諮詢 台北院所 預約專線 02-25533202 台北市大同區承德路二段176號 (捷運民權西路站2分鐘) 台南院所 預約專線 06-3117111 台南市永康區中華二路189號 官方Line預約諮詢