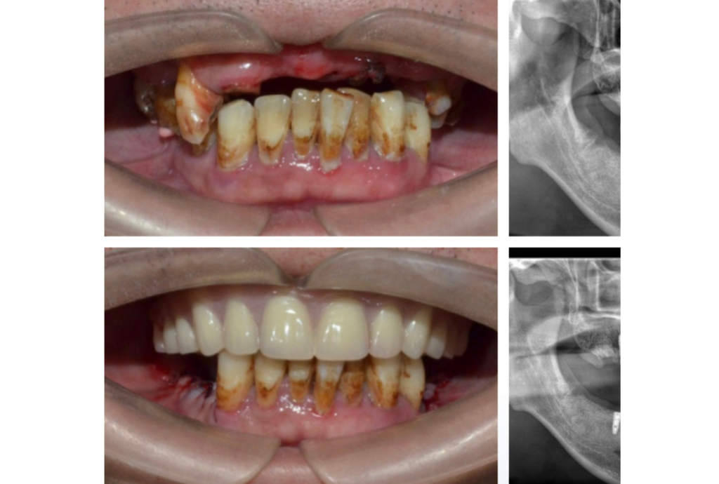
All-on-4 重拾笑容,自信再現 結合四支植體設計,手術當天即可裝上臨時假牙, 快速恢復咀嚼與美觀功能,讓笑容不再等待。 立即預約諮詢 全程專屬規劃 為你打造高效、穩定的全口重建體驗 從評估到笑容重現,每一步都由專業團隊精準掌控。 全口檢查與影像評估 透過3D斷層與影像掃描,完整掌握骨質、神經與顎骨條件,制定安全植牙計畫。 數位重建與手術規劃 電腦模擬骨架與角度,精準製作導引板,提升植體角度與深度的準確性。 植入四支植體 採用前2支直植、後2支傾斜植入方式,減少植骨需求,穩定支撐全口假牙。 安裝臨時固定假牙 手術當天即可裝上臨時假牙,立即恢復基本咀嚼與美觀功能。 骨整合與正式假牙製作 約2–4個月後待植體穩定,製作最終全瓷或混合式固定假牙,兼具美觀與耐用。 定期追蹤與維護 每3–6個月回診檢查植體與牙齦狀況,確保長期穩定與口腔健康。 精準・安全・快速恢復 全口缺牙患者打造的重建方案 從數位影像評估、手術規劃到人工牙冠裝戴,全程由專科醫師親自操作。透過 3D 導引技術與數位導航,降低風險、縮短恢復期,讓全口植牙更安全、穩定又快速。 數位手術規劃: 精準掌握骨質條件,預先模擬植牙位置。 固定式修復: 假牙穩固不晃動,外觀自然舒適。 縮短療程時間: 一次完成植入與修復,減少等待期。 免植骨方案: 避開上顎竇與神經,降低手術風險。 全口重建流程超簡單 三步驟,重拾自然笑容與穩定咬合 1 全口3D影像與數位規劃 透過3D斷層與電腦模擬分析,評估骨質與角度,量身設計全口重建方案。 2 四支植體精準植入 採用前直後斜的四支植體設計,免植骨、傷口小,當天即可完成手術。 3 當日安裝臨時假牙 手術當天裝戴臨時固定假牙,立即恢復外觀與咀嚼,後續再製正式全瓷或混合假牙。 患者見證 他們的笑容,證明一切 All-on-4 不只是恢復牙齒功能,更讓生活重新找回自信。 林先生全口重建患者 ★★★★★ Rated 5 out of 5 「原本以為要分好幾次手術,沒想到當天就能裝上假牙!吃飯、說話都很自然,像換了一副新人生!」 蔡小姐長期配戴活動假牙患者 ★★★★★ Rated 5 out of 5 「以前活動假牙常鬆脫又不舒服,改做 All-on-4 之後完全不同。假牙穩、咬合正常,笑起來也更自然漂亮!」 黃先生全口缺牙患者 ★★★★★ Rated 5 out of 5 「醫師幫我用四支植體完成全口重建,過程輕鬆、恢復快。現在可以正常吃飯、講話也更有自信!」 成功案例 0 + 病患滿意度 0 /5 療程成功率 0 % 開始之前,你一定想知道的事 為什麼越來越多人選擇All-on-4 全口重建?一日完成:手術當天即可植入並裝上臨時假牙。植體數少:僅需四支植體即可支撐整排牙齒。恢復快速:手術後即可進食、恢復日常生活。固定式假牙:穩定舒適,不易晃動。美觀自然:假牙形態貼近真牙,笑容更自信。 Q1. All-on-4 手術會痛嗎? 手術中會施打局部麻醉,術中幾乎無痛感,術後僅有輕微腫脹不適,通常 2–3 天即可恢復日常活動。 Q2. All-on-4 需要多久完成? 多數情況可在手術當天完成植入與臨時假牙裝戴,正式假牙於 2–4 個月後安裝完成。 Q3. 誰適合做 All-on-4? 全口缺牙、活動假牙配戴不穩或骨量不足者最適合,醫師會依骨質與健康狀況進行評估。 Q4. All-on-4 比傳統全口植牙好在哪? 僅需四支植體、手術時間短、免植骨、恢復快,整體費用與療程時間皆更經濟有效率。 Q5. All-on-4 能維持多久? 若維持良好清潔與定期回診,植體可使用十年以上,多數患者能長期穩定無異狀。 想了解更多?立即預約諮詢! 由專業醫師親自評估你的牙齒狀況,為你規劃最合適的方案,展現自然又自信的笑容。 立即預約諮詢